충남대 의대 송민호 교수와 바이오벤처 머젠스(대표 곽태환) 연구진은 약물을 이용해 체내 환경을 장기간 소식을 하거나 운동을 한 상태로 바꿔 비만과 당뇨병, 지방간, 고지혈증 등 대사성 질환을 치료할 수 있는 새로운 기술을 개발했다.
22일 세포 내에서 신호를 전달하거나 에너지를 만드는 기본물질인 'NADH'의 양을 줄이는 약물을 개발, 쥐에게 투여해 당뇨병과 지방간을 정상으로 회복시키는 데 성공했다고 밝혔다.
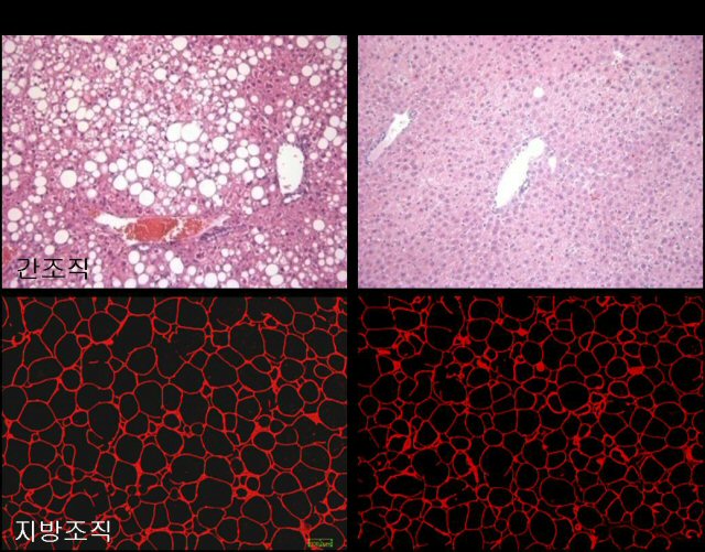
사진은 비만 쥐에게 신약물질(βL)을 8주간 투여한 뒤 간(위 2장)과 복부 지방조직(아래 2장)의 변화 모습. 간에 있는 지방(흰색)이 현저하게 줄었고(위 오른쪽), 복부 지방세포 각각의 크기도 투여 전(아래 왼쪽)보다 크게 작아졌다(아래 오른쪽).
이 신약물질은 체내에서 항산화작용을 하는 것으로 알려진 'NQO1' 효소를 활성화하는 것으로 밝혀졌다. NQO1은 NADH를 감소시키고 세포 내 에너지 대사 소기관인 미토콘드리아를 활성화해 에너지 소비를 증가시킨다.
연구진은 이 연구결과와 관련해 미국, 유럽, 일본 등 53개국에 81건의 약물표적 및 물질, 제형, 용도 특허를 등록 또는 출원했고 이를 바탕으로 미국에서 전 임상을 마치고 올 상반기에 국내에서 사람 대상의 임상시험을 진행할 예정이라고 밝혔다.(사진=연합뉴스)
저작권자 © 소비자가 만드는 신문 무단전재 및 재배포 금지

