남녀노소를 막론하고 그 어떤 강심장이라도 무서워하며 가기를 꺼려하는 곳이 바로 치과다.
날카로운 드릴 소리와 소독약 냄새, 무시무시한 통증에대한 공포가 누구라도 떨게 만든다.
충치 치료 한번 가는데도 하루종일 스트레스를 받는 것이 치과 환자들의 현실. 이런 공포스런 치과 치료의 클라이맥스는 바로 임플란트.
대규모 수술이 동반되고 오랜 치료기간을 요하는 임플란트 치료는 환자들의 밤을 공포와 스트레스로 설치게 하는 가장 무서운 현실이다.
엄청난 스트레스의 임플란트 대신 고통없고 좀더 인간적인 인공치아 치료방법은 없는 것일까?
최근 인간친화적 인공치아 치료로 소리없이 보폭을 넓혀가는 대안 시술이 있다. 이름도 휴먼브릿지. 무엇보다 치료의 고통이 전혀 없는데다 방법까지 간편해 이름에 ‘휴먼’이란 수식어를 달고 있다.
이렇게 편한 시술이라면 치료효과는? .
효과 또한 임플란트 못지 않아 인공치아 치료의 혁명이라는 명성도 얻고 있다.
휴먼브릿지 전문치과인 부산 덴타피아의 김경진 원장은 “치료의 최고의 목표를 ‘휴먼’에 두고 있는 만큼 환자에게 고통을 주지 않으며 시술이 간편하고 외관상으로나 씹는 능력면에서 환자를 최대한 배려하는 치과업계의 블루칩 기술”이라고 소개했다.
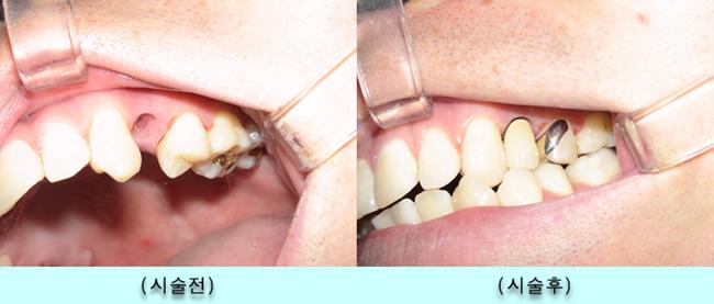
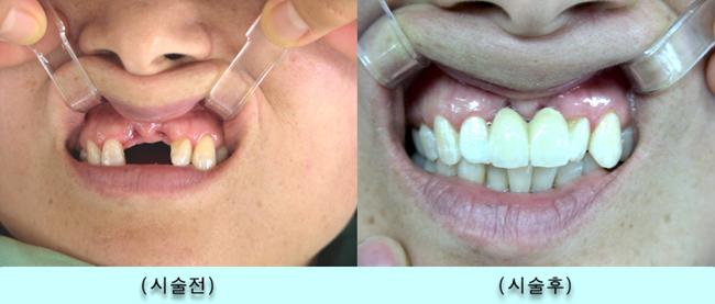
빠진 치아 바로 옆 치아의 측면에 부착장치를 달아 인공치아의 보철을 고정시키는 방식의 시술법이다.
기존의 브릿지는 뽑힌 치아 양옆 치아 두 개에 홈을 내고 장치를 설치한뒤 인공치아를 양옆 장치에 걸쳐 고정시키는 방법이 사용됐다.
상하지 않은 기존 이빨에 홈을 만들기 위해 갈아내는 과정이 필수적이어서 환자는 고통스런 치료과정을 거칠수밖에 없다. 상하지 않은 이빨에 인공적으로 홈을 파는데대한 부담담도 적지 않았다.
그러나 휴먼브릿지는 기존의 브릿지와 달리 옆치아를 전혀 손상시키지 않고 치아 안쪽(혀쪽)에 고정장치를 설치한뒤 새 인공치아를 걸치게 하는 방식으로 치료가 이루어진다.
결국 상하지 않은 자연니에는 아무런 손상을 입히지 않은채 인공치아를 장치함으로써 자연니를 깨끗하게 보전하고 수명이 다해 재시술이 필요한 경우에도 아무 제한을 받지 않는 장점이 있다.
휴먼브릿지의 장점은 이름 그대로 인간친화적이라는 것.
고통이 없고 간편하며 시술효과가 높다는 것이 3대 장점이다.
휴먼브릿지는 우선 갈아내거나 피를 흘리는 외과적수술이 전혀 필요없다. 신경치료도 하지 않아 마취도 하지 않는다. 치과가 주는 공포와 고통이 전혀 없어 환자들 사이에선 ‘드림 치료’란 명성도 얻고 있다. 환자들은 몸과 마음이 편안한 상태에서 치료를 받을수있다. 
임플란트 치료에서 소외됐던 고혈압 당뇨병 골다공증등 각종 만성질환 환자들도 제한없이 치료가능하다.
치료과정이 간편해 환자의 번거로움도 적다. 단 2번 병원을 방문하는 것으로 치료가 끝난다. 1회 방문해서 치료하는 시간도 10여분에 불과하다.
인공치아 보철장치가 혀가 있는 치아 뒷면으로 숨어 외관상으로는 인공치아인지가 전혀 드러나지 않아 심미적으로 자연스럽다.
음식을 씹는 저작력도 임플란트와 차이가 거의 없어 내 치아처럼 사용이 가능하다.
휴먼브릿지는 대구의 의료벤처기업인 ‘덴타피아’가 지난 2004년 개발한 신개념 인공치아 식재법이다. 환자들의 만족도가 높아지면서 현재 전국 80여개 치과에서 시술하고 있다.
순수 국산 기술로 개발돼 작년 '발명의 날'에 우리나라 11개 우수발명품중 하나로 뽑히기도 했다.
이중 임상이 가장 많이 이루어지고 환자들로부터 가장 높은 명성을 얻고 있는 곳은 부산의 ‘덴타피아’치과(원장 김경진)다.
휴먼브릿지 전문시술병원으로 이름이 높아져 치과간판도 아예 ‘덴타피아’로 내걸었다.
이론적 기술은 의료벤처기업인 덴타피아가 개발했지만 의술로 발전시킨곳은 치과 ‘덴타피아’였던 셈이다.
치의학 박사인 덴타피아 치과 김경진원장은 한발 더 나아가 아예 벤처기업 덴타피아의 수석 상임 연구위원으로도 활동하고 있다.
그 외 휴먼브릿지 시술병원은 벤처기업 덴타피아 홈페이지(www.dentapia.com )에서 안내받을 수있다.
휴먼브릿지에대한 국내 최고 최다의 임상경험을 갖고 있는 김경진 덴타피아 원장은 “휴먼 브릿지는 마치 한옥을 지을 때 못을 쓰지 않고 짜맞춘듯한 원리로 시술된다‘고 소개했다.
인공치아와 이를 고정시키는 보철을 정밀하게 제작해 양쪽 자연니 사이에 꼭맞게 끼워 넣으면 인공뼈를 심어 고정시키는 임플란트와 같은 고정력을 갖는다는 설명이다.
무엇보다 김원장이 꼽는 휴먼브릿지의 장점은 이를 갈거나 깎지 않기 때문에 오랜 시간이 지나도 이가 시리거나 아프지 않은 것.
김원장은 “ 치료중이거나 치료후를 막론하고 고통이 없어 바로 씹어먹는 식사가 가능할 만큼 환자의 몸을 편하게 해주고 정서적으로 안정을 주는 시술법”이라고 덧붙였다.
틀니나 임플란트, 기존 브릿지가 환자에게 주는 부담중의 하나는 오랜 시간이 지나면 잇몸주위가 시커멓게 변색돼 외관상 콤플렉스를 느끼게 하는 것.
김원장은 “휴먼브릿지는 그런 현상이 전혀 없어 미관을 중시하는 여성이나 젊은 나이의 환자들에게 꼭 권하고 싶다”고 강추했다.역시 환자의 삶의 질과 관련이 있는 부분이어서 시술 의사의 보람을 크게 하는 부분이라고 강조했다
김원장은 휴먼브릿지 시술에관해 최고 권위를 인정받고 있는 만큼 수년간의 임상 사례를 컴퓨터에 입력해 놓고 내원환자의 상태와 직접 비교해 최적화된 시술법을 찾는다.
또 부산 경남 최초로 물방울 레이저기를 도입, 잇몸이 튼튼하게 잘 붙도록 하고 있다. 2006년 도입한 독일 칼짜이쯔社 수술용 정밀현미경은 시술의 정확도를 높이는 덴타피아의 또다른 비밀병기다.
김순이(62. 부산시 동구 범일동)
예전에 해넣은 위 어금니 6개가 오래돼서 흔들리고 통증이 있어 덴타피아를 찾았다.
틀니를 하려고 했는데 원장이 휴먼브릿지를 권했다. 들어보니 괜찮을 듯 싶고 오래전부터 원장에대한 신뢰를 갖고 있었던 터여서 지난 4월초 시술을 시작했다.
시술이랄 것도 없이 치료가 간단했다. 첫날 옛 금니를 빼고 치아와 장치를 맞춘뒤 집으로 돌아왔다. 2주후에 다시 가서 20분만에 위 어금니 6개를 모두 끼웠다. 그것으로 끝이었다.
치료중에도 치료후에도 시리거나 아프지 않아 너무 마음이 편했다. 집으로 돌아와서 바로 정상적으로 식사했다. 모양도 예쁘게 나와 신경쓸일이 없다. 이빨 6개를 이처럼 편하게 갈아 끼우다니...오래 살아 참 세상 좋아졌다는 생각이 든다.
작년 8월 오래전에 브릿지를 해 넣은 어금니가 아파서 집근처 치과에 갔다. 치과에서는 브릿지가 너무 오래돼 이빨까지 망가져 뺄수밖에 없는 상황이라고 설명했다. 이빨이 빠진채로 살수는 없는 상황이어서 임플란트를 해달라고 했다. 그러나 뼈가 녹아서 임플란트도 안된다는 말에 실망해 치과를 나왔다.
다른 치과에 근무하는 아는분과 상의하니 휴먼브릿지는 가능할 것이라며 덴타피아 치과를 권해주셨다. 덴타피아 치과를 찾아 김경진원장과 상의하니 휴먼브릿지는 이빨을 갈거나 깎지 않아 고통스럽지 않고 건강한 이빨을 전혀 건드리지 않음으로 후일 수명이 다하거나 잘못돼도 재수술이 가능하다 하여 안심됐다.
시술은 너무 간단했다. 마취도 안하고 첫날은 간단히 본만 뜨고 나왔다. 그다음 2주후에 가서 10여분만에 이빨을 끼워넣는 것으로 모든 시술이 끝났다. 치과 치료가 이렇게 간단하다면 치과갈일이 뭐가 걱정일까!
그리고 나서 치과를 한번 더 방문했다. 새로 해넣은 이빨이 잘 맞물리는지를 점검하기위한 차원이었다.
마지막 점검까지 총 3번 치과를 가는데 걸린 기간은 25일 정도였다.
또 브릿지가 치아 안쪽(혀쪽)에 세워져 눈에 안띄는 데다 인공치아의 색깔과 모양도 자연니와 똑같아 표시가 안나고 잇몸 색깔도 변하지 않아 남들이 전혀 못알아보는 것도 만족스럽다.
6개월정도 지났지만 이상이있거나 불편한 점은 없다. 다만 잇몸과 이빨 사이에 틈이 있어 음식물이 낄까 다소 신경쓰이는 정도다. 음식물이 끼면 치간치솔을 사용하면 된다고 치과에서 조언해주었다.
덴타피아 치과에 근무하는 간호사다. 오래전에 위 어금니가 썩어서 뺀뒤 임플란트를 하고 있었다. 그러나 시간이 오래 지나자 잇몸이 약해서 빠졌다. 고민하고 있는 차에 우리병원에서 휴먼브릿지를 시술받고 만족해하는 환자분들을 보고 휴먼브릿지 시술을 결정했다.
덴타피아 치과에 근무한지 5년 동안 휴먼브릿지를 시술받은 환자분들의 만족도가 크게 높았고 아프거나 시리다고 한경우도 단 한건도 없었다.
환자들이 아무런 고통없이 편안하게 치료받는 모습도 시술을 결정하는데 주저함을 없앴다..
나 역시 작년초 편하고 신속하게 시술을 받았다. 이빨 본을 뜬뒤 2주만에 새 브릿지를 끼워넣었다. 이제 시술받은지 1년이 넘었지만 이빨로인해 불편한적은 단 한번도 없었다.
씹는 힘도 다른 자연니와 똑같고 잇몸 색깔도 변함이 없다. 휴먼브릿지가 널리 알려져서 이빨로 고통받는 많은 환자들의 기쁨이과 위안이 됐으면 좋겠다.









